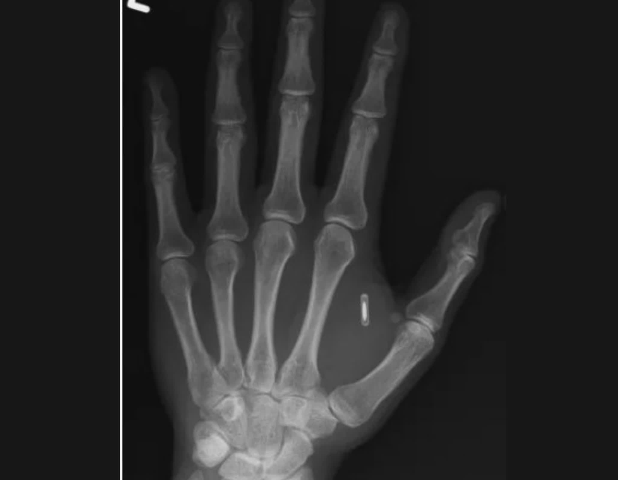
Facepalm: A Missouri magician and molecular biologist found himself confronting the limits of modern biohacking after accidentally locking himself out of the technology implanted inside his own body. Zi Teng Wang, who performs under the stage name Zi the Mentalist, recently shared his experience online, posting an X-ray image on Facebook that revealed the RFID microchip he had embedded between his thumb and index finger several years ago.
The experiment began as a quirky blend of performance art and technological curiosity. The chip was intended to serve as a prop for interactive magic tricks, activating routines when a smartphone with a compatible reader was pressed against Zi's hand.
RFID implants, typically made up of a tiny chip and antenna encased in biocompatible glass, are wirelessly powered by external readers and can store a modest amount of data. In this case, Zi programmed the chip to trigger digital events – initially as part of his stagecraft, later as a platform for technical experiments.
He soon discovered the practical constraints of using an implanted RFID device in magic. The physical act of guiding audience members to fumble with their smartphones and trying to locate the exact spot needed to activate the reader proved awkward. Many phones ship with RFID capabilities disabled by default, or struggle to reliably detect the chip through skin. As a result, the illusion lost both its mystique and its technical reliability.

Undeterred, Zi experimented further, overwriting the chip to encode a Bitcoin address and, later, an Imgur meme link. However, when the image host changed its URLs, the chip's function was rendered inert.
The real setback came during his attempts to reprogram the chip – Zi realized he had forgotten the password required to modify its data. Modern RFID and NFC chips often allow users to set write protections or passwords to prevent unauthorized changes, but once forgotten, these credentials can make the device nearly impossible to access or update.
Unlocking the chip would require cycling through possible password combinations via a brute-force approach – potentially a process lasting days or weeks, with an RFID reader held against his hand the entire time. Unlike typical consumer gadgets, implantable chips pose unique recovery challenges: too many failed password attempts can permanently lock the device, with virtually no way to reset it.
Zi's predicament echoes cautionary tales from other DIY biohackers. In 2018, a journalist who implanted an NFC chip encountered a similar problem after losing his access code, later describing himself as a "useless cyborg."
The lesson for enthusiasts is clear: technical novelty must be balanced against usability, and forgetfulness becomes a much bigger problem when the technology you forget how to access is embedded under your skin.